Diagnose
Aneurysmatische Knochenzyste
Diagnose Gruppe
benigner Tumor
Topographie
Knochen, Femur
Topographie Gruppe
Knochen, Knorpel, Gelenke
Beschreibung
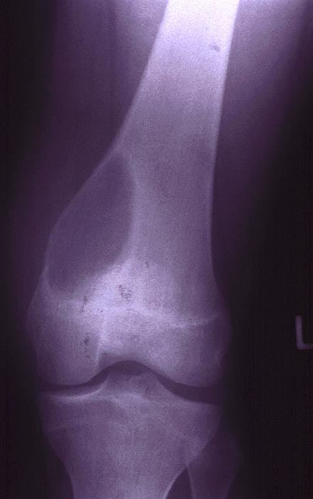
Radiologisch erkennt man in der distalen linken Femurmetaphyse medial eine exzentrisch gelegene Osteolysezone, die mediodorsal zu einer schalenartigen Ausbeulung des Knochens mit Bildung einer Neokortikalis geführt hat. Besonders nach dorsal ist die Neokortikalis sehr dünn.
Zusatzbefund
Mikroskopisch sieht man Knochengewebe, bestehend aus spongiösem
Knochen, Fettmark und Einblutungen sowie Anteilen einer
bindegewebigen Membran, die von einer abgeflachten Deckzellschicht
ausgekleidet wird. Darin sieht man immer wieder kleine
osteoklastäre Riesenzellen, Einblutungen und spärliche
entzündliche Infiltrate. Atypien finden sich nicht.
Datum
Ersteintrag: 05.07.2002
Update: 04.02.2024