PathoPic – image database / PathoPic ID 5063 - Magenfrühkarzinom

de
Diagnose
Magenfrühkarzinom
Diagnose Gruppe
maligner Tumor
Topographie
Magenantrum
Topographie Gruppe
Oesophagus, Magen
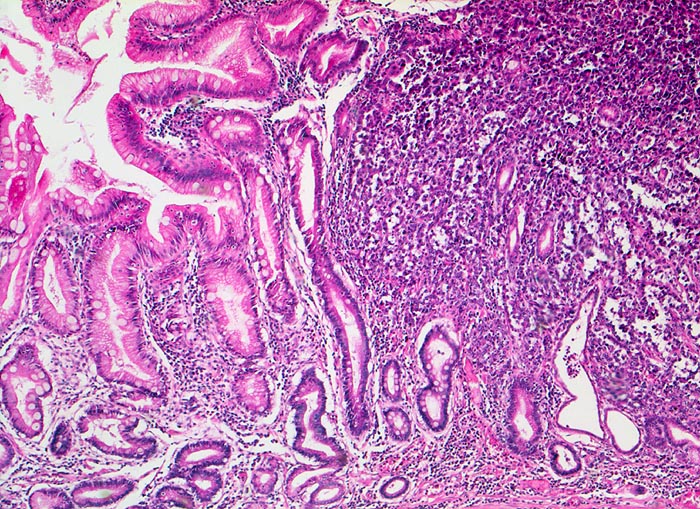
Beschreibung
Links im Bild die Magenschleimhaut mit intestinaler Metaplasie (zahlreiche Becherzellen). Diffuse Tumorinfiltration mit Verdrängung und Umwachsung der ortsständigen Magendrüsen rechts im Bild. Der abgebildete Karzinomanteil ist gering differenziert. Die hochgradig atypischen Tumorzellen bilden nur andeutungsweise erkennbare Drüsenschläuche.
Klinik
Endoskopische Kontrolle bei Patient mit bekannter chronischer Gastritis.
Bilder Typ
Histologie
Vergrösserung
50
Alter
68
Geschlecht
unbekannt
Datum
Ersteintrag: 06.07.2002
Update: 04.02.2024