PathoPic – image database / PathoPic ID 5076 - Colitis ulcerosa

de
Diagnose
Colitis ulcerosa
Diagnose Gruppe
Entzündung / Reparatur
Topographie
Kolon links
Topographie Gruppe
Darm, Anus
Beschreibung
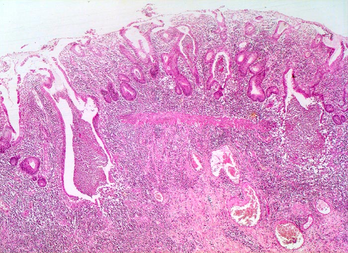
Schwer gestörte Kryptenarchitektur mit zahlreichen verzweigten und unregelmässig geformten Krypten. Das Entzündungsinfiltrat in der Lamina propria ist stark verdichtet und greift auf die fibrosierte Submukosa über. Mehrere Kryptenabszesse. Die Krypten enden deutlich oberhalb der Lamina muscularis mucosae (Zeichen der Atrophie).
Klinik
Kolektomie wegen chronischer therapierefraktärer Kolitis.
Bilder Typ
Histologie
Vergrösserung
25
Alter
34
Geschlecht
männlich
Datum
Ersteintrag: 06.07.2002
Update: 04.02.2024