PathoPic – image database / PathoPic ID 5078 - Colitis ulcerosa

de
Diagnose
Colitis ulcerosa
Diagnose Gruppe
Entzündung / Reparatur
Topographie
Kolon links
Topographie Gruppe
Darm, Anus
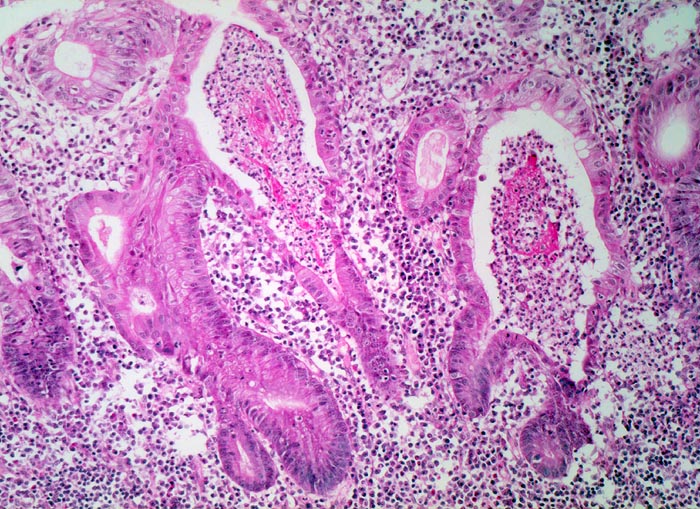
Beschreibung
Gestörte Kryptenarchitektur mit verzweigten Krypten. Verdichtetes Entzündungsinfiltrat in der Lamina propria. Dilatierte Krypten gefüllt mit Fibrin und neutrophilen Granulozyten (=Kryptenabszess). Praktisch vollständiger Verlust von schleimbildenden Becherzellen und Basophilie (bläuliche Farbe) des Epithels.
Klinik
Kolektomie wegen chronischer therapierefraktärer Kolitis.
Kommentar
Becherzellverlust und Basophilie des Epithels stellen unspezifische regeneratorische Veränderungen im Rahmen der Entzündung dar. Der Becherzellverlust ist bei Colitis ulcerosa oft sehr stark ausgeprägt verglichen mit anderen entzündlichen Darmerkrankungen.
Bilder Typ
Histologie
Vergrösserung
100
Alter
34
Geschlecht
männlich
Datum
Ersteintrag: 06.07.2002
Update: 04.02.2024