PathoPic – image database / PathoPic ID 5083 - myxoides Liposarkom

de
Diagnose
myxoides Liposarkom
Diagnose Gruppe
maligner Tumor
Topographie
Muskel, untere Extremität
Topographie Gruppe
Weichteile
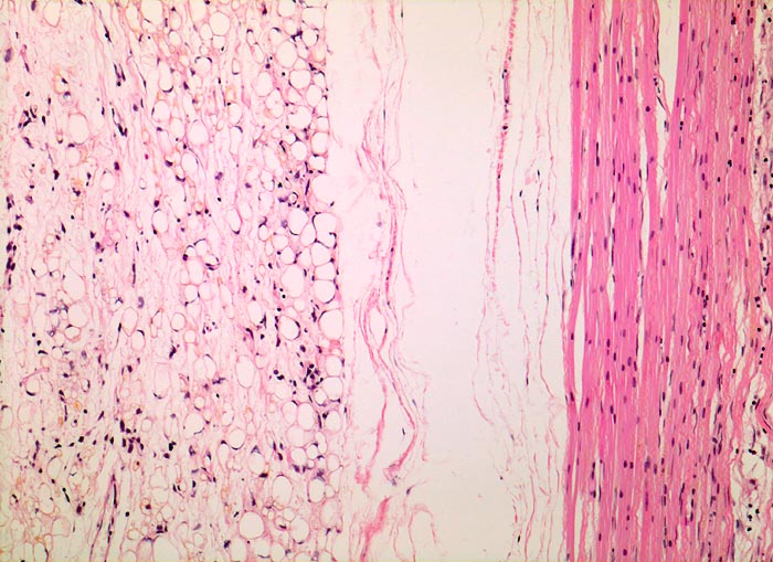
Beschreibung
Rechts im Bild komprimierte atrophe Skelettmuskulatur. Links davon die peripheren Anteile des Sarkoms mit zahlreichen Lipoblasten, die in der Übersicht an reifes Fettgewebe erinnern.
Klinik
Schmerzloser Tumor am medialen Oberschenkel.
Bilder Typ
Histologie
Vergrösserung
100
Alter
55
Geschlecht
unbekannt
Datum
Ersteintrag: 06.07.2002
Update: 04.02.2024