PathoPic – image database / PathoPic ID 5087 - Morbus Crohn: fissurales Ulkus

de
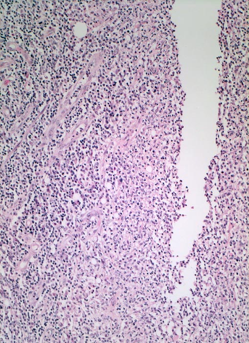
Diagnose
Morbus Crohn: fissurales Ulkus
Diagnose Gruppe
Entzündung / Reparatur
Topographie
Ileum terminal
Topographie Gruppe
Darm, Anus
Beschreibung
Spaltförmiges Ulkus gesäumt von entzündlich infiltriertem Granulationsgewebe mit zahlreichen Gefässen.
Klinik
Bekannter Morbus Crohn. Resektion des terminalen Ileum wegen mechanischem Subileus und enterokutaner Fistelbildung.
Kommentar
Die Vermehrung von Nerven ist typisch bei Morbus Crohn.
Bilder Typ
Histologie
Vergrösserung
100
Alter
27
Geschlecht
männlich
Datum
Ersteintrag: 06.07.2002
Update: 04.02.2024