PathoPic – image database / PathoPic ID 5088 - Morbus Crohn

de
Diagnose
Morbus Crohn
Diagnose Gruppe
Entzündung / Reparatur
Topographie
Ileum terminal
Topographie Gruppe
Darm, Anus
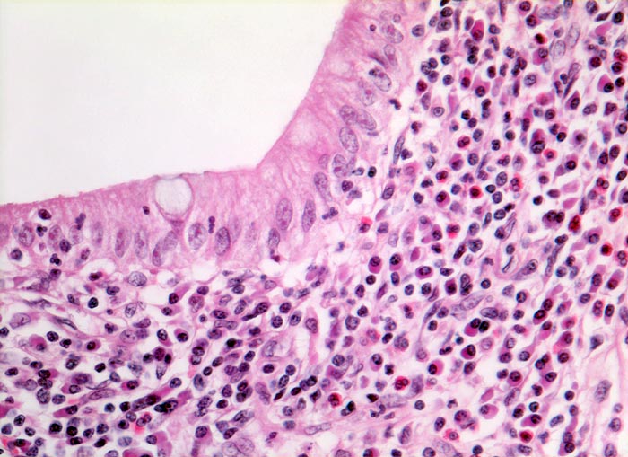
Beschreibung
Die Mukosa zeigt ein verdichtetes Entzündungsinfiltrat mit auffallend vielen Plasmazellen, eosinophilen Granulozyten, Lymphozyten und neutrophilen Granulozyten.
Klinik
Bekannter Morbus Crohn. Resektion des terminalen Ileum wegen mechanischem Subileus und enterokutaner Fistelbildung.
Kommentar
Im Gegensatz zur normalen Mukosa ist das Entzündungsinfiltrat im Stroma diffus verdichtet und zeigt auffallend viele Plasmazellen und eosinophile Granulozyten. Neutrophile Granulozyten sind in einer normalen Mukosa nicht anzutreffen und deuten auf eine aktive Entzündung hin.
Bilder Typ
Histologie
Vergrösserung
320
Alter
27
Geschlecht
männlich
Datum
Ersteintrag: 06.07.2002
Update: 04.02.2024