PathoPic – image database / PathoPic ID 5092 - noduläre Nebenschilddrüsenhyperplasie

de
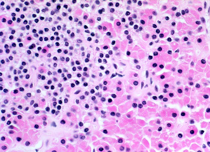
Diagnose
noduläre Nebenschilddrüsenhyperplasie
Diagnose Gruppe
Systemerkrankung/Immunpathologie
Topographie
Nebenschilddrüse
Topographie Gruppe
Endokrinium
Beschreibung
Ausschnitt aus einem hyperplastischen Knoten. Neben aktiven Hauptzellen sind rechts im Bild und zwischen die Hauptzellen eingestreut zahlreiche oxyphile Zellen mit reichlich eosinophilem feinkörnigem Zytoplasma erkennbar.
Klinik
Der Patient leidet an einer chronischen Niereninsuffizienz. Die glomeruläre Filtrationsrate ist auf 25% reduziert. Unter anderem ist eine Hypokalzämie und eine Hyperphosphatämie vorhanden. Die Serumkonzentration des Parathormons ist erhöht. Die Diagnose eines sekundären Hyperparathyreoidismus wird gestellt.
Bilder Typ
Histologie
Vergrösserung
400
Alter
62
Geschlecht
männlich
Datum
Ersteintrag: 06.07.2002
Update: 04.02.2024