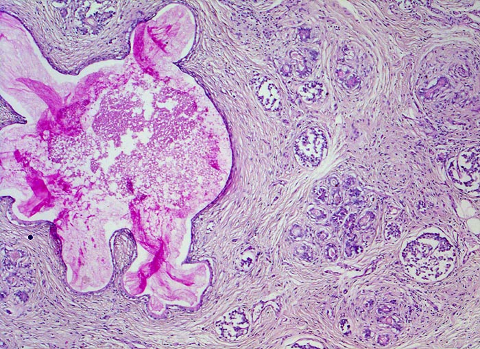
Massiv erweiterter grosser Ausführungsgang mit Diastase-PAS-rot angefärbten dichten (viskösen) Schleimmassen. Periduktale und interstitielle Fibrose.
Das exokrine Pankreasparenchym ist stark fibrosiert und atroph bei erhaltener lobulärer Architektur. Die Pankreasinseln sind hingegen gut erhalten.
Klinik
Der Patient verstarb an einer Pneumonie. Es bestand eine Insuffizienz des exokrinen Pankreas mit Malabsorption.