PathoPic – image database / PathoPic ID 5096 - Mucoviszidose

de
Diagnose
Mucoviszidose
Diagnose Gruppe
angeboren /genetisch/Missbildung
Topographie
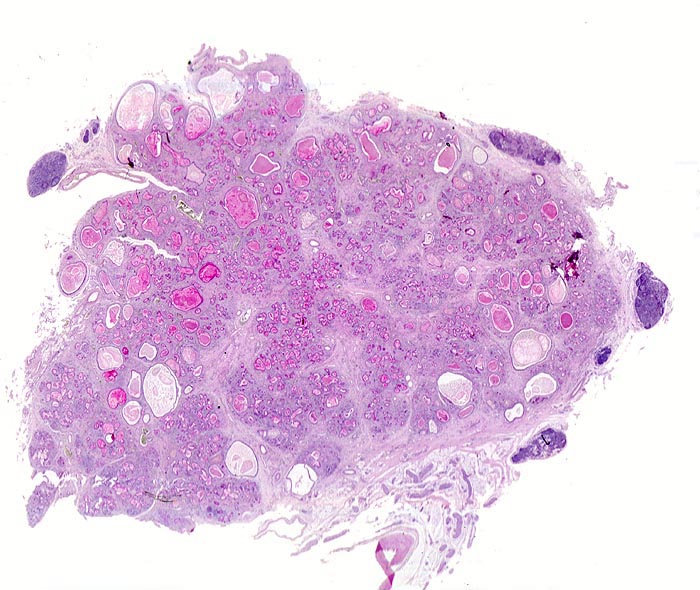
Pankreas
Topographie Gruppe
Leber, Gallenwege, Pankreas
Beschreibung
Neben einer mässig ausgeprägten Fibrose fallen in der Übersicht vor allem die zahlreichen dilatierten und mit eingedicktem PAS positivem Schleim angefüllten Gänge auf. Die dunkelblauen Knoten im peripankreatischen Gewebe entsprechen dort üblicherweise vorhandenem lymphatischem Gewebe.
Klinik
Der Patient verstarb an einer Pneumonie. Es bestand eine Insuffizienz des exokrinen Pankreas mit Malabsorption.
Bilder Typ
Histologie
Vergrösserung
Scan
Alter
16
Geschlecht
männlich
Datum
Ersteintrag: 06.07.2002
Update: 04.02.2024