PathoPic – image database / PathoPic ID 5097 - Mucoviszidose

de
Diagnose
Mucoviszidose
Diagnose Gruppe
angeboren /genetisch/Missbildung
Topographie
Pankreas
Topographie Gruppe
Leber, Gallenwege, Pankreas
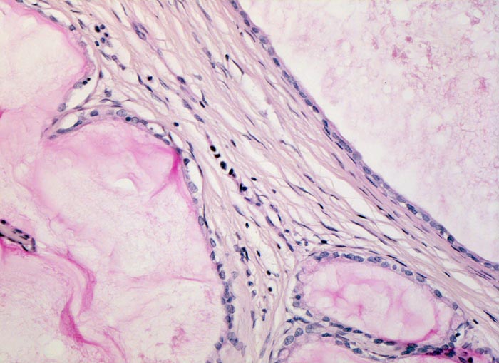
Beschreibung
Dilatierte Gänge gefüllt mit PAS positivem Schleim.
Klinik
Der Patient verstarb an einer Pneumonie. Es bestand eine Insuffizienz des exokrinen Pankreas mit Malabsorption.
Bilder Typ
Histologie
Vergrösserung
200
Alter
16
Geschlecht
männlich
Datum
Ersteintrag: 06.07.2002
Update: 04.02.2024