Pathopic
HiPaKu
ZyPaKu
PathoBasic
PathoBasic Cytology
Quizzes
Projektinfos
PathoPic - Projekt- und Copyright-Infos
About
Pathopic
HiPaKu
ZyPaKu
PathoBasic
PathoBasic Cytology
Quizzes
PathoPic – image database
/
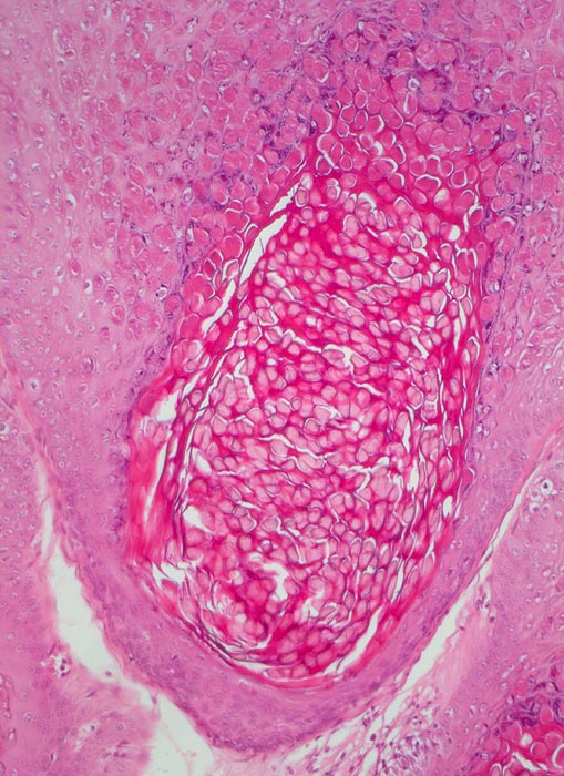
PathoPic ID 5107 - Molluscum contagiosum
de
Diagnose
Molluscum contagiosum
Diagnose Gruppe
Präneoplasie/ Atypie/ Dignität?
Topographie
Haut, Anus
Topographie Gruppe
Haut
Beschreibung
Kugelige eosinophile intrazytoplasmatische Einschlüsse sind vor allem in Zellen des $o{qy8042178Stratum granulosum} Stratum granulosum und des
Stratum corneum erkennbar.
Klinik
Perianal kleine linear angeordnete Hautpapeln.
Bilder Typ
Histologie
Vergrösserung
100
Alter
5
Geschlecht
männlich
Datum
Ersteintrag: 06.10.2002
Update: 04.02.2024
CPS
·
©
2024 Institut für Pathologie Basel
/
Dr. med. Katharina Glatz-Krieger
.
·
v2.1