PathoPic – image database / PathoPic ID 5113 - Atherosklerose

de
Diagnose
Atherosklerose
Diagnose Gruppe
vaskulär / Durchblutungsstörung
Topographie
Arteria poplitea
Topographie Gruppe
Kardiovaskuläres System
Beschreibung
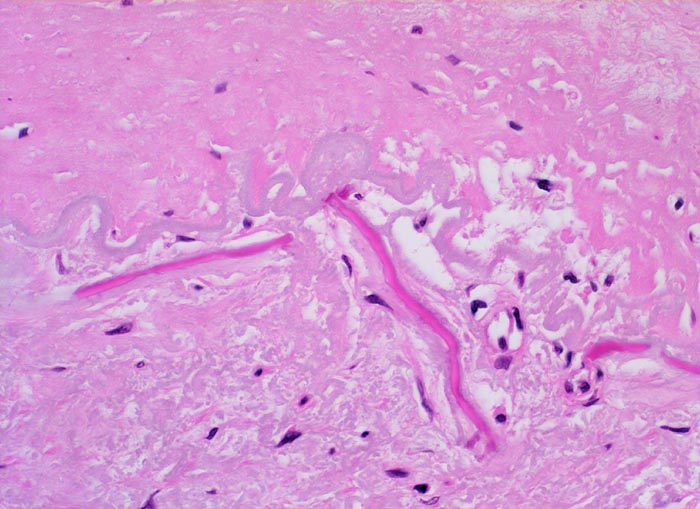
Aufgesplitterte Lamina elastica interna zwischen sklerosierter Intima oben im Bild und atropher Media unten im Bild. Einzelne Fasersplitter sind verkalkt.
Klinik
Patient mit arterieller Hypertonie und 42 Pack Years Nikotinabusus. Klinisch PAVK IIa mit gelegentlichen leichten Schmerzen im rechten Bein nach längeren Gehstrecken.
Bilder Typ
Histologie
Vergrösserung
400
Alter
79
Geschlecht
männlich
Datum
Ersteintrag: 06.07.2002
Update: 04.02.2024