PathoPic – image database / PathoPic ID 5116 - Chronische Helicobactergastritis

de
Diagnose
Chronische Helicobactergastritis
Diagnose Gruppe
Entzündung infektiös
Topographie
Magenantrum
Topographie Gruppe
Oesophagus, Magen
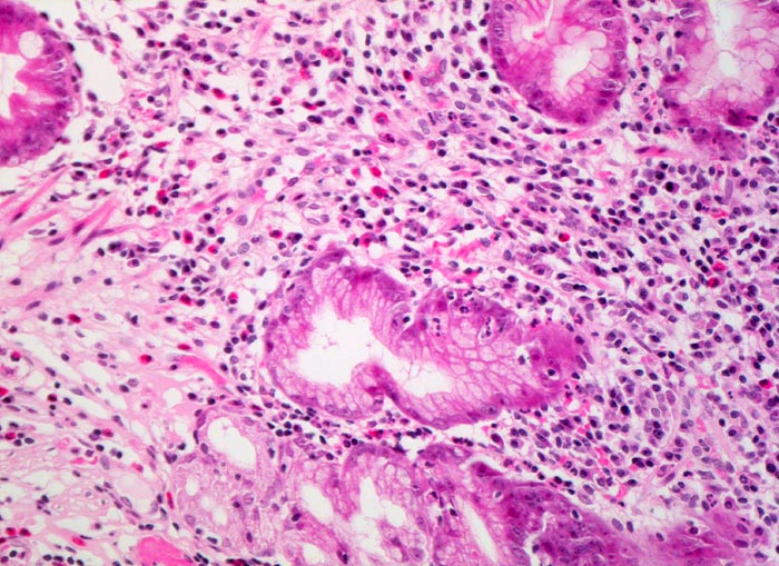
Beschreibung
Magenantrumschleimhaut mit zahlreichen Plasmazellen und neutrophilen Granulozyten im Stroma. Einzelne Granulozyten infiltrieren das Drüsenepithel.
Klinik
Asylsuchender aus dem Balkan mit chronischen Oberbauchbeschwerden.
Kommentar
Die Plasmazellen sind Ausdruck einer chronischen Gastritis während die neutrophilen Granulozyten die Entzündungsaktivität anzeigen. Beim Nachweis von neutrophilen Granulozyten sind fast immer Helicobacter- Bakterien anwesend, die in der Giemsa C Färbung besser zur Darstellung kommen.
Bilder Typ
Histologie
Vergrösserung
200
Alter
32
Geschlecht
männlich
Datum
Ersteintrag: 06.07.2002
Update: 04.02.2024