PathoPic – image database / PathoPic ID 5119 - Gichttophus

de
Diagnose
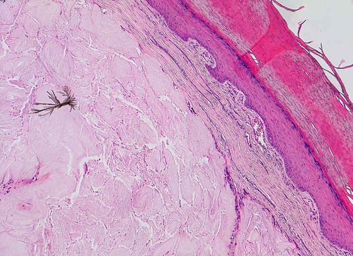
Gichttophus
Diagnose Gruppe
Systemerkrankung/Immunpathologie
Topographie
Haut
Topographie Gruppe
Haut
Beschreibung
Stark verhornende Epidermis. Intradermaler Tophus bestehend aus amorphem eosinophilem Material und einzelnen bereits in der HE Färbung erkennbaren nadelförmigen Kristallen. Spärliches Entzündungsinfiltrat in der Knotenperipherie.
Klinik
Rezidivierend geschwollenes und gerötetes Grosszehengrundgelenk. Schmerzattacken, teils abhängig von Nahrungs- und Getränkeeinnahme.
Bilder Typ
Histologie
Vergrösserung
50
Alter
46
Geschlecht
männlich
Datum
Ersteintrag: 06.07.2002
Update: 04.02.2024