PathoPic – image database / PathoPic ID 5120 - Gichttophus

de
Diagnose
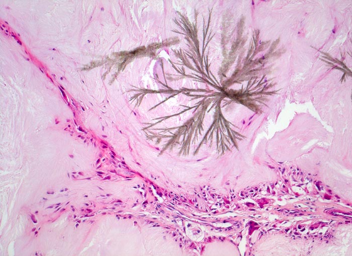
Gichttophus
Diagnose Gruppe
Systemerkrankung/Immunpathologie
Topographie
Haut
Topographie Gruppe
Haut
Beschreibung
Die Harnsäurekristallablagerungen werden von schmalen bindegewebigen Septen mit Histiozyten und Riesenzellen durchzogen.
Klinik
Rezidivierend geschwollenes und gerötetes Grosszehengrundgelenk. Schmerzattacken, teils abhängig von Nahrungs- und Getränkeeinnahme.
Bilder Typ
Histologie
Vergrösserung
100
Alter
46
Geschlecht
männlich
Datum
Ersteintrag: 06.10.2002
Update: 04.02.2024