Pathopic
HiPaKu
ZyPaKu
PathoBasic
PathoBasic Cytology
Quizzes
Projektinfos
PathoPic - Projekt- und Copyright-Infos
About
Pathopic
HiPaKu
ZyPaKu
PathoBasic
PathoBasic Cytology
Quizzes
PathoPic – image database
/
PathoPic ID 5125 - Blasenmole
de
Diagnose
Blasenmole
Diagnose Gruppe
angeboren /genetisch/Missbildung
Topographie
Abortmaterial
Topographie Gruppe
Paidopathologie
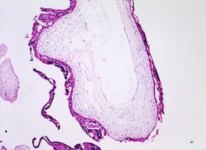
Beschreibung
Blasig aufgetriebene Plazentarzotte mit zentraler pseudozystischer Hohlraumbildung (=
Zysterne) und zirkulär proliferiertem
Trophoblastepithel.
Klinik
beta HCG Level von 150'000 mIU/mL. Uterus zu gross für das Gestationsalter von 10 Wochen. Arterielle Hypertonie.
Bilder Typ
Histologie
Vergrösserung
50
Alter
32
Geschlecht
unbekannt
Datum
Ersteintrag: 23.07.2002
Update: 04.02.2024
CPS
·
©
2024 Institut für Pathologie Basel
/
Dr. med. Katharina Glatz-Krieger
.
·
v2.1