PathoPic – image database / PathoPic ID 5126 - Blasenmole

de
Diagnose
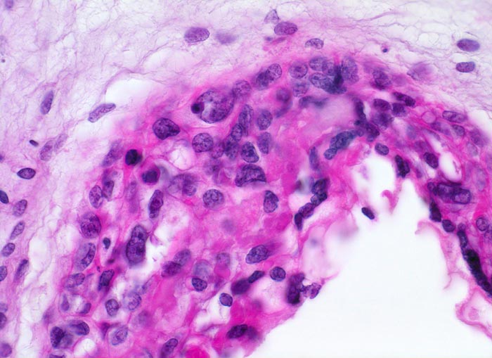
Blasenmole
Diagnose Gruppe
angeboren /genetisch/Missbildung
Topographie
Abortmaterial
Topographie Gruppe
Paidopathologie
Beschreibung
Hyperplastisches Trophoblastepithel mit polymorphen und hyperchromatischen Zellkernen.
Klinik
beta HCG Level von 150'000 mIU/mL. Uterus zu gross für das Gestationsalter von 10 Wochen. Arterielle Hypertonie.
Bilder Typ
Histologie
Vergrösserung
400
Alter
32
Geschlecht
unbekannt
Datum
Ersteintrag: 06.07.2002
Update: 04.02.2024