Pathopic
HiPaKu
ZyPaKu
PathoBasic
PathoBasic Cytology
Quizzes
Projektinfos
PathoPic - Projekt- und Copyright-Infos
About
Pathopic
HiPaKu
ZyPaKu
PathoBasic
PathoBasic Cytology
Quizzes
PathoPic – image database
/
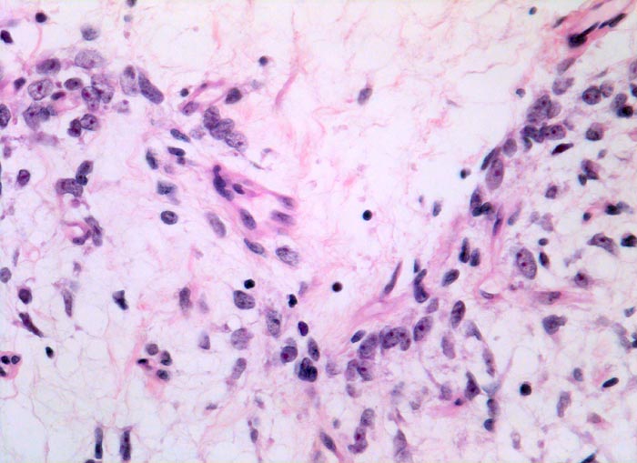
PathoPic ID 5129 - myxoides Liposarkom
de
Diagnose
myxoides Liposarkom
Diagnose Gruppe
maligner Tumor
Topographie
Muskel, untere Extremität
Topographie Gruppe
Weichteile
Beschreibung
Rund um die zarten
kapillären Gefässe gruppieren sich
Tumorzellen mit rundlichen Kernen und feinen eosinophilen Nukleolen.
Klinik
Schmerzloser Tumor am medialen Oberschenkel.
Bilder Typ
Histologie
Vergrösserung
320
Alter
55
Geschlecht
unbekannt
Datum
Ersteintrag: 06.07.2002
Update: 04.02.2024
CPS
·
©
2024 Institut für Pathologie Basel
/
Dr. med. Katharina Glatz-Krieger
.
·
v2.1