Kommentar
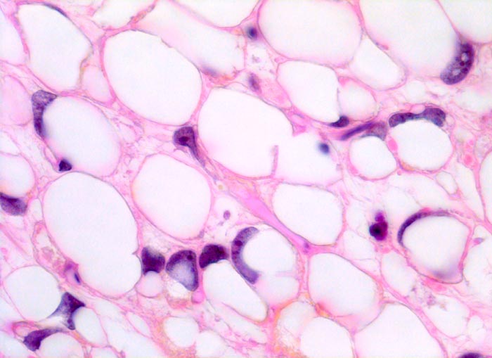
Die Zellkerne von Lipoblasten zeigen im Gegensatz zu reifen Fettzellen deutlich grössere Kerne mit Atypien. Sie sind typisch, aber nicht spezifisch für das Liposarkom und kommen auch in gutartigen Veränderungen vor. Lipoblastenähnliche Zellen finden sich ausserdem in nekrotischen Lipomen, atrophem Fettgewebe, Fremdkörperreaktion auf Silikon, als Fixationsartefakt oder in siegelringzelligen Karzinomen.