PathoPic – image database / PathoPic ID 5142 - Osteogenesis imperfecta

de
Diagnose
Osteogenesis imperfecta
Diagnose Gruppe
angeboren /genetisch/Missbildung
Topographie
Knochen, Rippe
Topographie Gruppe
Knochen, Knorpel, Gelenke
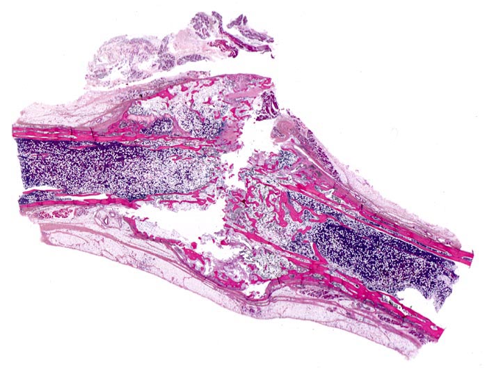
Beschreibung
Alte Rippenfraktur mit knöchernem Frakturkallus und knöchernem Durchbau des Frakturspaltes. Die Kortikalis ist extrem dünn und die Spongiosa ausserhalb der Frakturzone zeigt eine ausgeprägte Osteopenie.
Zusatzbefund
Tod an Rechtsherzversagen bei Cor pulmonale. Multiple, zum Teil nicht ganz frische Frakturen vorwiegend der Rippen mit ausgeprägter Deformierung des Thorax und des übrigen Skeletts. Generalisierte Osteopenie. Kyphoskoliose. Multiple Knochenmarkembolien der Lunge.
Klinik
Glasknochenkrankheit, pulmonale arterielle Hypertonie
Bilder Typ
Histologie
Vergrösserung
Scan
Alter
39
Geschlecht
männlich
Datum
Ersteintrag: 05.07.2002
Update: 04.02.2024