PathoPic – image database / PathoPic ID 5146 - Osteogenesis imperfecta

de
Diagnose
Osteogenesis imperfecta
Diagnose Gruppe
angeboren /genetisch/Missbildung
Topographie
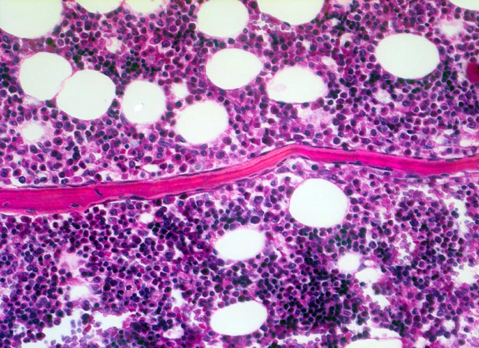
Knochen, Rippe
Topographie Gruppe
Knochen, Knorpel, Gelenke
Beschreibung
Die Spongiosabälkchen sind extrem rarefiziert und verdünnt. Alterskorreliert normozelluläres Knochenmark.
Zusatzbefund
Tod an Rechtsherzversagen bei Cor pulmonale. Multiple, zum Teil nicht ganz frische Frakturen vorwiegend der Rippen mit ausgeprägter Deformierung des Thorax und des übrigen Skeletts. Generalisierte Osteopenie. Kyphoskoliose. Multiple Knochenmarkembolien der Lunge.
Klinik
Glasknochenkrankheit, pulmonale arterielle Hypertonie
Bilder Typ
Histologie
Vergrösserung
200
Alter
39
Geschlecht
männlich
Datum
Ersteintrag: 23.07.2002
Update: 04.02.2024