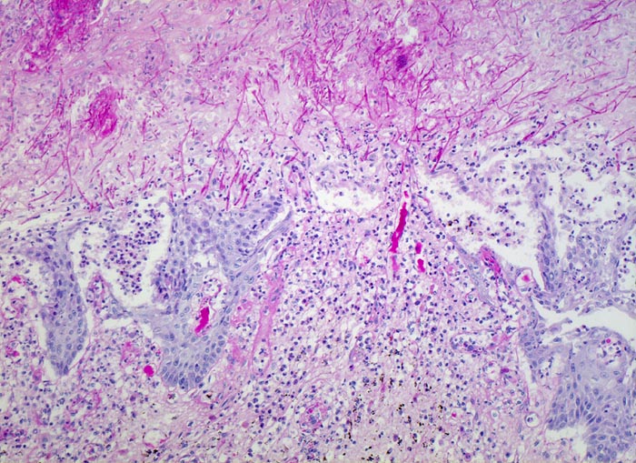
Das Plattenepithel ist teils ulzeriert, teils erodiert. Soorpseudohyphen infiltrieren das stehengebliebene Epithel. Dichte Infiltrate von neutrophilen Granulozyten im Epithel.
Klinik
Mann, 75 Jahre, mit bekanntem multiplen Myelom. Autopisepräparat. Progrediente Dysphagie.