PathoPic – image database / PathoPic ID 5152 - Soorösophagitis

de
Diagnose
Soorösophagitis
Diagnose Gruppe
Entzündung infektiös
Topographie
Oesophagus
Topographie Gruppe
Oesophagus, Magen
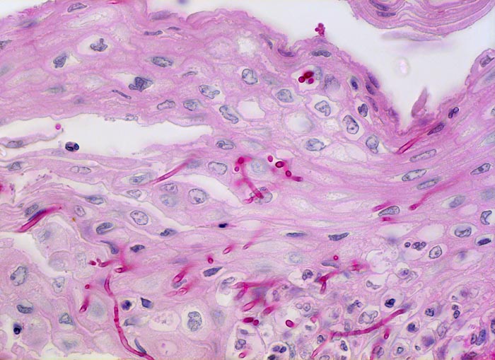
Beschreibung
Die obersten Schichten der erhaltenen Mukosa werden von schlanken Soorpseudohyphen durchsetzt.
Klinik
Mann, 75 Jahre, mit bekanntem multiplen Myelom. Autopisepräparat. Progrediente Dysphagie.
Bilder Typ
Histologie
Vergrösserung
400
Alter
75
Geschlecht
männlich
Datum
Ersteintrag: 19.09.2002
Update: 04.02.2024