PathoPic – image database / PathoPic ID 5153 - Soorösophagitis

de
Diagnose
Soorösophagitis
Diagnose Gruppe
Entzündung infektiös
Topographie
Oesophagus
Topographie Gruppe
Oesophagus, Magen
Beschreibung
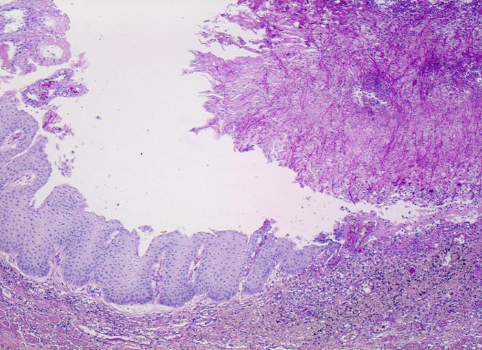
Die Schleimhaut links im Bild ist weitgehend unauffällig. Am rechten Bildrand ist ein Ulkus erkennbar, welches von einem dicken Geflecht aus Pseudohyphen bedeckt wird.
Zusatzbefund
Weisse, streifenförmige Beläge auf der Mucosa
Klinik
Mann, 75 Jahre, mit bekanntem multiplen Myelom. Autopisepräparat. Progrediente Dysphagie.
Bilder Typ
Histologie
Vergrösserung
50
Alter
75
Geschlecht
männlich
Datum
Ersteintrag: 19.09.2002
Update: 04.02.2024