PathoPic – image database / PathoPic ID 5175 - normale Synovialis

de
Diagnose
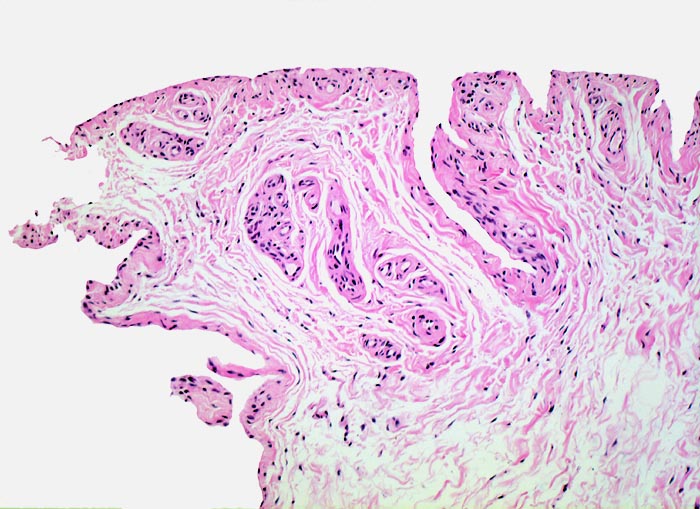
normale Synovialis
Diagnose Gruppe
Normalbefund
Topographie
Synovialis
Topographie Gruppe
Knochen, Knorpel, Gelenke
Beschreibung
Die Innenauskleidung von Gelenken, Sehnenscheiden und Bursen wird von einer spezialisierten epithelähnlichen Synovialmembran ausgekleidet. Diese sezerniert Synovia. Die Synovialis besteht aus 1-4 Synovialzellagen, die an der Unterseite mit einer Zone von lockerem gut vaskularisiertem kollagenem Bindegewebe verschmelzen, in dem Fettzellen, Fibroblasten, Mastzellen und Makrophagen vorkommen. Eine kontinuierliche Basalmembran ist nicht ausgebildet. Die Synovialzellen können flach und mesothelähnlich, spindelförmig, polyedrisch oder kubisch sein. Typ A Synoviozyten sind phagozytisch tätig, Typ B Zellen produzieren reichlich Proteine und haben entsprechend ein gut entwickeltes rauhes endoplasmatisches Reticulum.
Kommentar
Synovialis von Fingergelenk
Bilder Typ
Histologie
Vergrösserung
100
Alter
43
Geschlecht
unbekannt
Datum
Ersteintrag: 23.07.2002
Update: 04.02.2024