Pathopic
HiPaKu
ZyPaKu
PathoBasic
PathoBasic Cytology
Quizzes
Projektinfos
PathoPic - Projekt- und Copyright-Infos
About
Pathopic
HiPaKu
ZyPaKu
PathoBasic
PathoBasic Cytology
Quizzes
PathoPic – image database
/
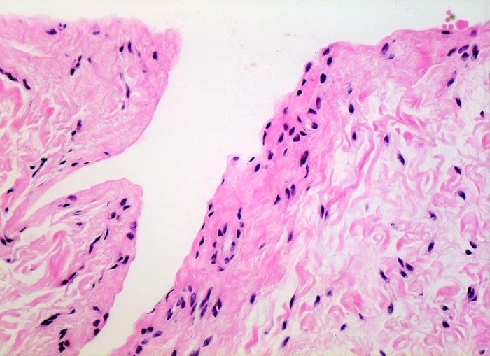
PathoPic ID 5176 - normale Synovialis
de
Diagnose
normale Synovialis
Diagnose Gruppe
Normalbefund
Topographie
Synovialis
Topographie Gruppe
Knochen, Knorpel, Gelenke
Beschreibung
diskontinuierliche Schicht flacher synovialer
Deckzellen. Das kollagenöse Stroma ist entzündungsfrei.
Kommentar
Synovialis von Fingergelenk
Bilder Typ
Histologie
Vergrösserung
200
Alter
43
Geschlecht
unbekannt
Datum
Ersteintrag: 23.07.2002
Update: 04.02.2024
CPS
·
©
2024 Institut für Pathologie Basel
/
Dr. med. Katharina Glatz-Krieger
.
·
v2.1