PathoPic – image database / PathoPic ID 5181 - Wilms-Tumor

de
Diagnose
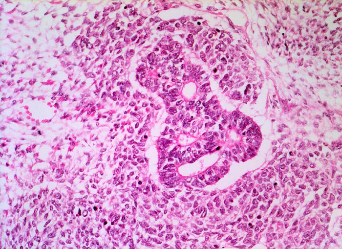
Wilms-Tumor
Diagnose Gruppe
maligner Tumor
Topographie
Niere
Topographie Gruppe
Paidopathologie
Beschreibung
Komplexe kribriforme epitheliale Strukturen innerhalb des zellreichen Blastems.
Zusatzbefund
Graubrauner scharf begrenzter weicher Tumor mit fokalen Nekrosen und Einblutungen.
Klinik
Palpabler Tumor im linken Hemiabdomen. Makrohämaturieepisode.
Bilder Typ
Histologie
Vergrösserung
200
Alter
1
Geschlecht
männlich
Datum
Ersteintrag: 05.11.2002
Update: 04.02.2024