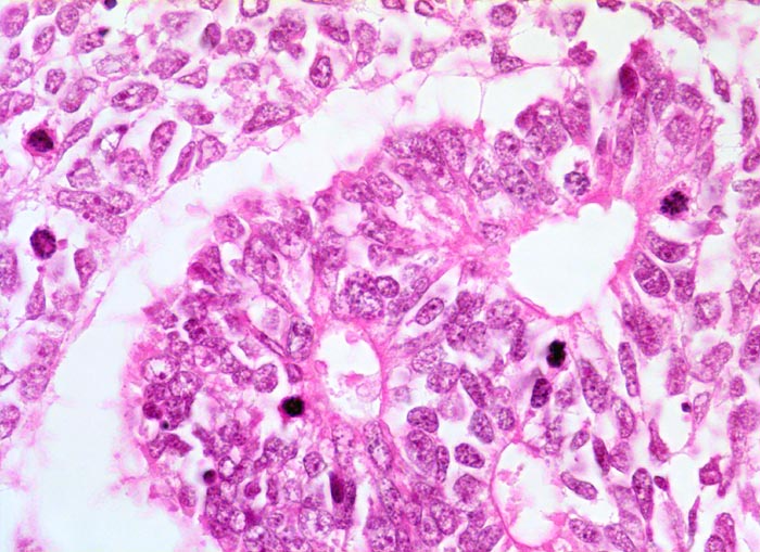
Tubuli ausgekleidet von stark basophilem Epithel mit grossen Kernen. Kerne mit kleinen Nukleolen und grobem Chromatin. Daneben solide Blastemkomponente mit ähnlicher Zytomorphologie. In beiden Komponenten finden sich Mitosen.
Zusatzbefund
Graubrauner scharf begrenzter weicher Tumor mit fokalen Nekrosen und Einblutungen.
Klinik
Palpabler Tumor im linken Hemiabdomen. Makrohämaturieepisode.