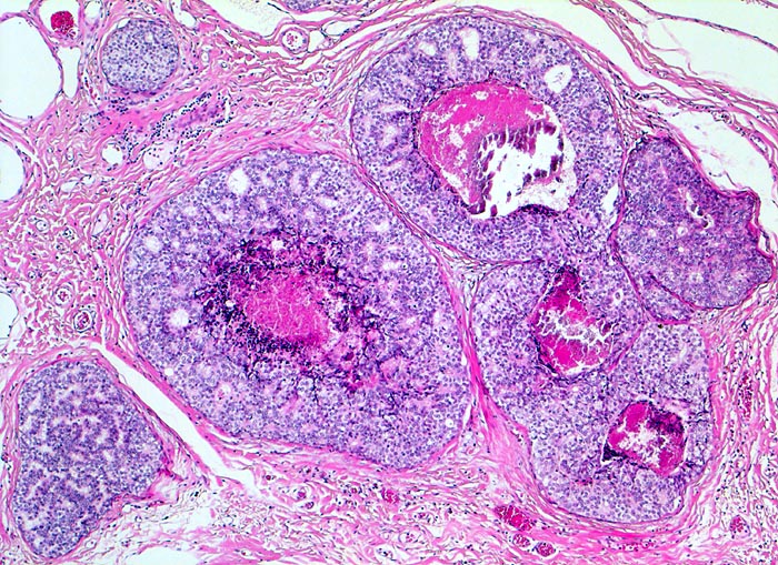
Duktales carcinoma in situ mit Komedonekrosen, non high grade
Diagnose Gruppe
Präneoplasie/ Atypie/ Dignität?
Topographie
Mamma
Topographie Gruppe
Mamma
Beschreibung
Kribriformes duktales in situ Karzinom mit zentralen, teils verkalkten Komedonekrosen, zytologisch non high grade (deshalb kein Komedokarzinom). Das Tumorgewebe wächst rein intraduktal und ist von einer Basalmembran umgeben.