PathoPic – image database / PathoPic ID 5196 - meningotheliales Meningeom (WHO I)

de
Diagnose
meningotheliales Meningeom (WHO I)
Diagnose Gruppe
benigner Tumor
Topographie
Meningen
Topographie Gruppe
Nervensystem
Beschreibung
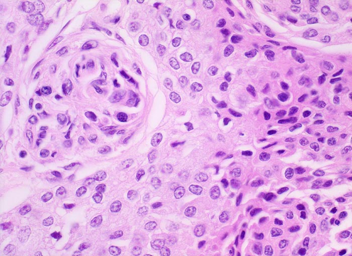
Monomorpher Tumorzellverband mit Wirbelbildung. Die Tumorzellen haben ovale Kerne ohne Atypien und reichlich Zytoplasma.
Klinik
Wegen erstmalig aufgetretenem epileptischem Anfall wird ein Schädel CT durchgeführt. Dabei kommt über der rechten Grosshirnkonvexität ein 3cm grosser runder Tumor zur Darstellung. Der Patient litt ausserdem seit mehreren Wochen über rechtsseitig lokalisierte Kopfschmerzen.
Bilder Typ
Histologie
Vergrösserung
400
Alter
59
Geschlecht
männlich
Datum
Ersteintrag: 23.07.2002
Update: 04.02.2024