Pathopic
HiPaKu
ZyPaKu
PathoBasic
PathoBasic Cytology
Quizzes
Projektinfos
PathoPic - Projekt- und Copyright-Infos
About
Pathopic
HiPaKu
ZyPaKu
PathoBasic
PathoBasic Cytology
Quizzes
PathoPic – image database
/
PathoPic ID 5204 - Gravidität
de
Diagnose
Gravidität
Diagnose Gruppe
Normalbefund
Topographie
Plazenta
Topographie Gruppe
Paidopathologie
Beschreibung
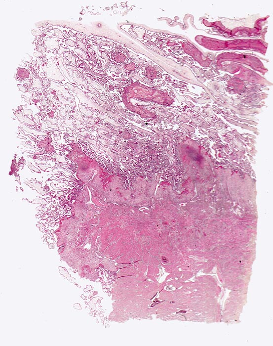
Uteruswand und Plazenta:
Myometrium
Dezidua basalis
Fibrinschicht
regelmässig angeordnete Chorionzotten mit gleitenden Ubergängen zwischen breiten und schmalen Zotten.
Choriondeckplatte
Chorion laeve
Klinik
11. Schwangerschaftswoche. Normale Schwangerschaft
Bilder Typ
Histologie
Vergrösserung
Scan
Alter
0.212
Geschlecht
unbekannt
Datum
Ersteintrag: 23.07.2002
Update: 04.02.2024
CPS
·
©
2024 Institut für Pathologie Basel
/
Dr. med. Katharina Glatz-Krieger
.
·
v2.1