Pathopic
HiPaKu
ZyPaKu
PathoBasic
PathoBasic Cytology
Quizzes
Projektinfos
PathoPic - Projekt- und Copyright-Infos
About
Pathopic
HiPaKu
ZyPaKu
PathoBasic
PathoBasic Cytology
Quizzes
PathoPic – image database
/
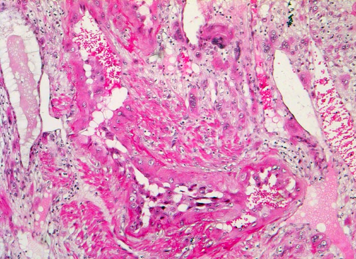
PathoPic ID 5206 - Gravidität
de
Diagnose
Gravidität
Diagnose Gruppe
Normalbefund
Topographie
Plazenta
Topographie Gruppe
Paidopathologie
Beschreibung
Zytotrophoblastzellen des extravillösen Zytotrophoblasten mit grossen hyperchromatischen Kernen invadieren nicht nur das
Myometrium, sondern auch die Spiralarterien der Dezidua.
Fetale Zellen sind im Lumen der mütterlichen Spiralarterie nachweisbar.
Klinik
11. Schwangerschaftswoche. Normale Schwangerschaft
Bilder Typ
Histologie
Vergrösserung
50
Alter
0.212
Geschlecht
unbekannt
Datum
Ersteintrag: 23.07.2002
Update: 04.02.2024
CPS
·
©
2024 Institut für Pathologie Basel
/
Dr. med. Katharina Glatz-Krieger
.
·
v2.1