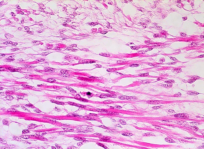
Neben spindeligen Stromazellen finden sich längliche Zellen mit hypereosinophilem Zytoplasma mit Querstreifung (Skelettmuskeldifferenzierung)
Zusatzbefund
Graubrauner scharf begrenzter weicher Tumor mit fokalen Nekrosen und Einblutungen.
Klinik
Palpabler Tumor im linken Hemiabdomen. Makrohämaturieepisode.
Kommentar
Die Stromazellen sind meist fibrozytisch oder myxoid, nicht selten findet man aber auch Skelettmuskeldifferenzierung. Selten sind andere heterologe Elemente wie Plattenepithel, glatter Muskel, Fettgewebe oder Knorpel vorhanden.