PathoPic – image database / PathoPic ID 5213 - Gravidität

de
Diagnose
Gravidität
Diagnose Gruppe
Normalbefund
Topographie
Plazenta
Topographie Gruppe
Paidopathologie
Beschreibung
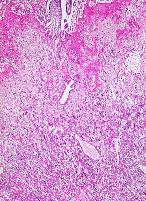
Oben im Bild Anschnitte des proliferierten Trophoblast der Haftzotten. Daran angrenzend eine homogene rote Schicht von Fibrinoid und darunter die Infiltrationszone des intermediären extravillösen Trophoblast im Bereich der Dezidua. Die hellen blasigen Zellen entsprechen der Dezidua. Diese wird infiltriert von intermediären Trophoblastzellen mit dunklem Zytoplasma und grossen hyperchromatischen Kernen.
Klinik
11. Schwangerschaftswoche. Normale Schwangerschaft
Bilder Typ
Histologie
Vergrösserung
50
Alter
0.212
Geschlecht
unbekannt
Datum
Ersteintrag: 23.07.2002
Update: 04.02.2024