PathoPic – image database / PathoPic ID 5218 - Kleinhirnrinde

de
Diagnose
Kleinhirnrinde
Diagnose Gruppe
Normalbefund
Topographie
Kleinhirn
Topographie Gruppe
Nervensystem
Beschreibung
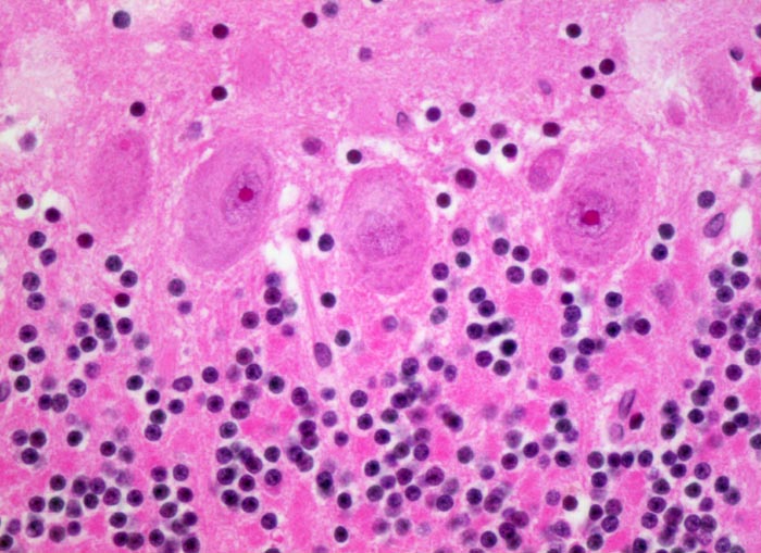
Von aussen nach innen: Molekulareschicht mit nur wenigen Nerven- und Gliazellen, Ganglienzellschicht mit grossen Purkinjezellen, zellreiche Körnerschicht.
Bilder Typ
Histologie
Vergrösserung
40
Geschlecht
weiblich
Datum
Ersteintrag: 23.07.2002
Update: 04.02.2024