Pathopic
HiPaKu
ZyPaKu
PathoBasic
PathoBasic Cytology
Quizzes
Projektinfos
PathoPic - Projekt- und Copyright-Infos
About
Pathopic
HiPaKu
ZyPaKu
PathoBasic
PathoBasic Cytology
Quizzes
PathoPic – image database
/
PathoPic ID 5219 - Kleinhirn
de
Diagnose
Kleinhirn
Diagnose Gruppe
Normalbefund
Topographie
Kleinhirn
Topographie Gruppe
Nervensystem
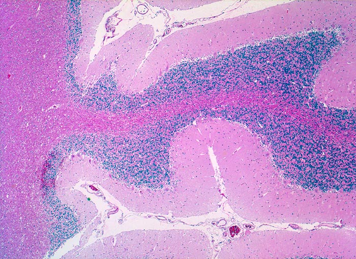
Beschreibung
Links im Bild das
Kleinhirnmark. Rechts die gefaltete Kleinhirnrinde bedeckt von
Leptomeningen.
Schichten der Kleinhirnrinde:
-
Molekulareschicht
-
Ganglienzellschicht
-
Körnerzellschicht
Bilder Typ
Histologie
Vergrösserung
25
Geschlecht
weiblich
Datum
Ersteintrag: 23.07.2002
Update: 04.02.2024
CPS
·
©
2024 Institut für Pathologie Basel
/
Dr. med. Katharina Glatz-Krieger
.
·
v2.1