Diagnose Gruppe
Systemerkrankung/Immunpathologie
Topographie Gruppe
Niere, Harnwege
Beschreibung
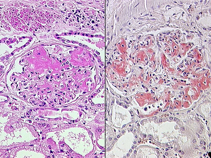
Rechts: Kongorote Amyloidablagerungen in den Glomeruli.
Links: HE-Färbung.
Zusatzbefund
Multiple Sklerose. Sagomilz.
Datum
Ersteintrag: 14.11.2001
Update: 04.02.2024