PathoPic – image database / PathoPic ID 5236 - Multiple Sklerose

de
Diagnose
Multiple Sklerose
Diagnose Gruppe
Entzündung / Reparatur
Topographie
Hirn temporal
Topographie Gruppe
Nervensystem
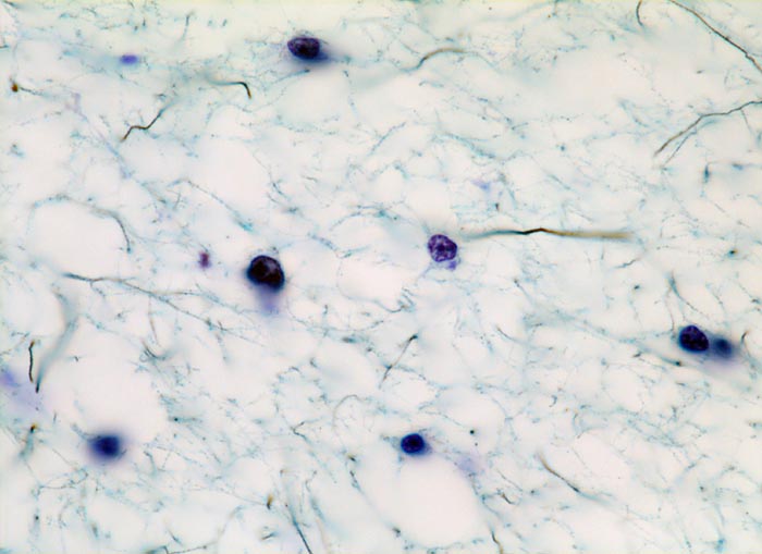
Beschreibung
Vollständiger Verlust der Markscheiden (fehlende blaue Farbe) bei erhaltenen Axonen (schwarze Fasern). Hypozellularität.
Klinik
Multiple periventrikulär gelagerte Entmarkungsherde im MRI
Bilder Typ
Histologie
Vergrösserung
630
Alter
48
Geschlecht
unbekannt
Datum
Ersteintrag: 23.07.2002
Update: 04.02.2024