PathoPic – image database / PathoPic ID 5237 - meningotheliales Meningeom (WHO I): Psammomkörperchen

de
Diagnose
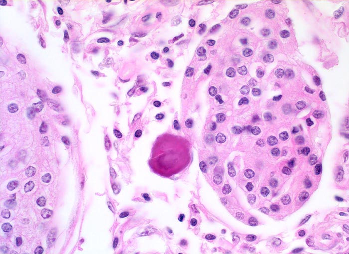
meningotheliales Meningeom (WHO I): Psammomkörperchen
Diagnose Gruppe
benigner Tumor
Topographie
Meningen
Topographie Gruppe
Nervensystem
Beschreibung
Monomorpher Tumorzellverband. Runde, angedeutet geschichtete Verkalkung (= Psammomkörperchen)
Klinik
Wegen erstmalig aufgetretenem epileptischem Anfall wird ein Schädel CT durchgeführt. Dabei kommt über der rechten Grosshirnkonvexität ein 3cm grosser runder Tumor zur Darstellung. Der Patient litt ausserdem seit mehreren Wochen über rechtsseitig lokalisierte Kopfschmerzen.
Kommentar
Psammomkörperchen kommen typischerweise in Meningeomen vor, sind aber beim meningothelialen Subtyp nur spärlich anzutreffen.
Bilder Typ
Histologie
Vergrösserung
400
Alter
59
Geschlecht
männlich
Datum
Ersteintrag: 23.07.2002
Update: 04.02.2024