Pathopic
HiPaKu
ZyPaKu
PathoBasic
PathoBasic Cytology
Quizzes
Projektinfos
PathoPic - Projekt- und Copyright-Infos
About
Pathopic
HiPaKu
ZyPaKu
PathoBasic
PathoBasic Cytology
Quizzes
PathoPic – image database
/
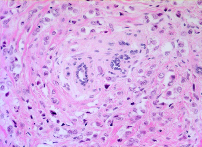
PathoPic ID 5244 - Invasives lobuläres Mammakarzinom
de
Diagnose
Invasives lobuläres Mammakarzinom
Diagnose Gruppe
maligner Tumor
Topographie
Mamma
Topographie Gruppe
Mamma
Beschreibung
Die recht monomorphen und nicht sehr grossen
Tumorzellen sind in einreihigen Ketten konzentrisch um ein
vorbestehendes Läppchen angeordnet.
Klinik
Mammographisch suspekter Herd im äusseren oberen Quadranten. Probeexzision.
Bilder Typ
Histologie
Vergrösserung
200
Alter
42
Geschlecht
unbekannt
Datum
Ersteintrag: 23.07.2002
Update: 04.02.2024
CPS
·
©
2024 Institut für Pathologie Basel
/
Dr. med. Katharina Glatz-Krieger
.
·
v2.1