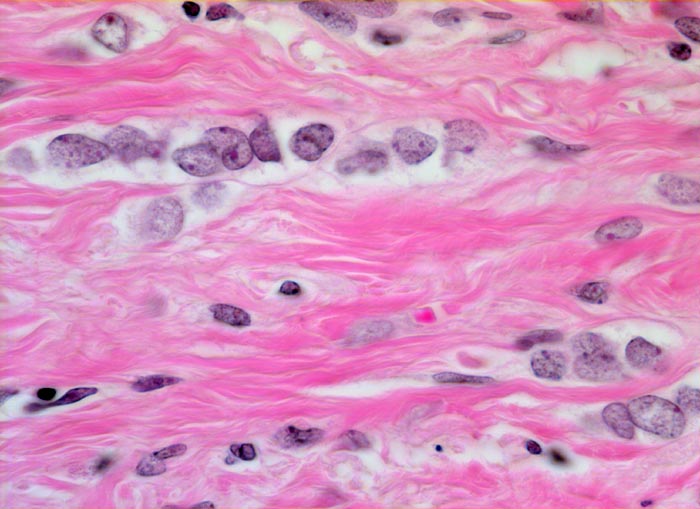
Die kleinen monomorphen und nur gering atypischen Tumorzellen bilden einreihige Ketten (gänsemarschartig oder Indian files) im dichten desmoplastischen Stroma
Klinik
Mammographisch suspekter Herd im äusseren oberen Quadranten. Probeexzision.
Kommentar
Die Anordnung der Tumorzellen zu einreihigen Ketten ist ein Charakteristikum der invasiv lobulären Karzinome