PathoPic – image database / PathoPic ID 5249 - follikuläres Schilddrüsenkarzinom

de
Diagnose
follikuläres Schilddrüsenkarzinom
Diagnose Gruppe
maligner Tumor
Topographie
Schilddrüse
Topographie Gruppe
Endokrinium
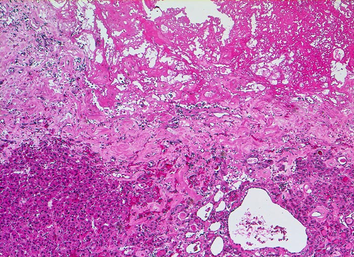
Beschreibung
Ausschnitt aus dem Tumor mit Fibrose und Einblutung (oben im Bild)
Klinik
Seit zirka 10 Jahren ist beim Patienten eine Struma bekannt. Jetzt sucht er den Hausarzt auf, weil er den Eindruck hat, die Schilddrüse sei grösser geworden. In der Ultraschall-Untersuchung wird ein Knoten im rechten Schilddrüsenlappen festgestellt, der relativ scharf vom angrenzenden Gewebe abgesetzt ist. Die Feinnadelpunktion ergibt eine follikuläre Neoplasie; eine Unterscheidung zwischen einem follikulären Adenom und einem follikulären Karzinom ist zytologisch jedoch nicht möglich. Es wird eine Hemithyreoidektomie durchgeführt und nach der Diagnosestellung eines follikulären Karzinoms eine Resthyreoidektomie angeschlossen.
Bilder Typ
Histologie
Vergrösserung
50
Alter
54
Geschlecht
männlich
Datum
Ersteintrag: 23.07.2002
Update: 04.02.2024