PathoPic – image database / PathoPic ID 5251 - Blasenmole

de
Diagnose
Blasenmole
Diagnose Gruppe
angeboren /genetisch/Missbildung
Topographie
Abortmaterial
Topographie Gruppe
Paidopathologie
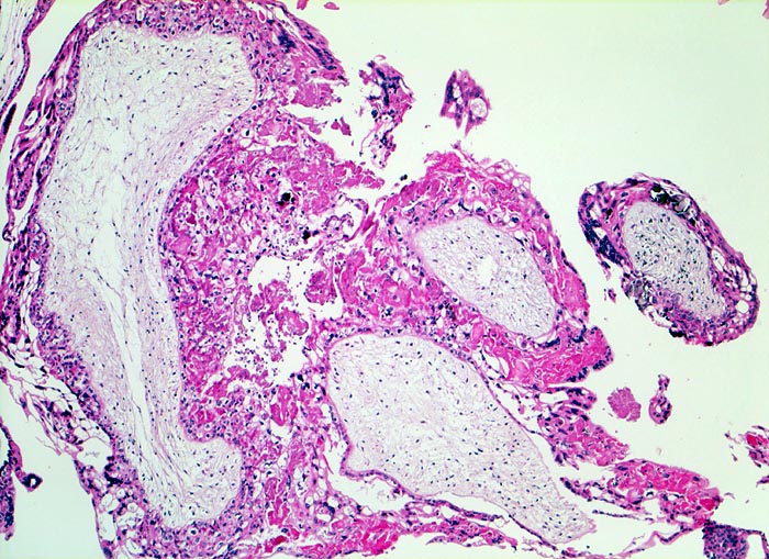
Beschreibung
Gefässfreie blasig aufgetriebene Villi bedeckt von zirkulär proliferiertem Trophoblastepithel.
Klinik
beta HCG Level von 150'000 mIU/mL. Uterus zu gross für das Gestationsalter von 10 Wochen. Arterielle Hypertonie.
Bilder Typ
Histologie
Vergrösserung
50
Alter
32
Geschlecht
unbekannt
Datum
Ersteintrag: 23.07.2002
Update: 04.02.2024