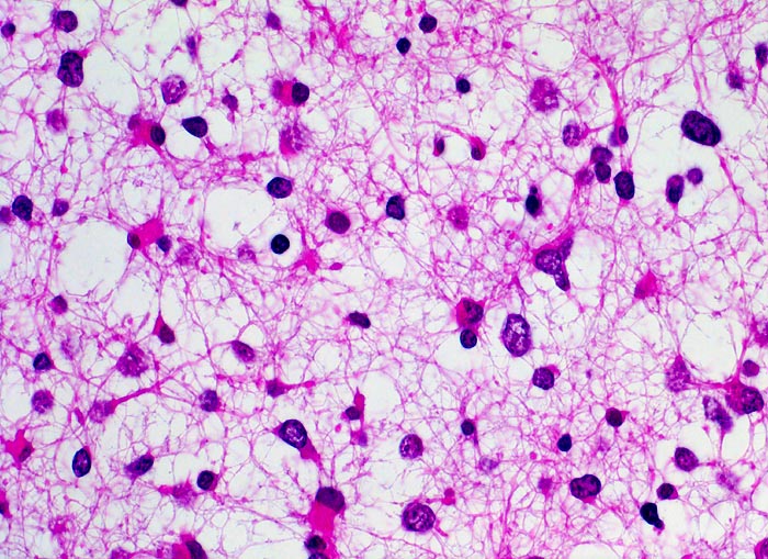
Diagnose
Oligodendrogliom (WHO Grad II)
Diagnose Gruppe
maligner Tumor
Topographie Gruppe
Nervensystem
Beschreibung
Tumorzellen mit rundlichen Kernen und geschwollenem klarem Zytoplasma
Klinik
Kopfschmerzen und epileptische Anfälle seit zwei Jahren.
Datum
Ersteintrag: 05.08.2002
Update: 04.02.2024