PathoPic – image database / PathoPic ID 5259 - Oligodendrogliom (WHO Grad II)

de
Diagnose
Oligodendrogliom (WHO Grad II)
Diagnose Gruppe
maligner Tumor
Topographie
Hirn frontal
Topographie Gruppe
Nervensystem
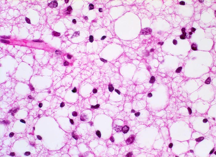
Beschreibung
Tumorzellen mit runden Kernen und klarem Zytoplasma. Kapilläres Gefäss
Klinik
Kopfschmerzen und epileptische Anfälle seit zwei Jahren.
Bilder Typ
Histologie
Vergrösserung
400
Alter
59
Geschlecht
männlich
Datum
Ersteintrag: 05.08.2002
Update: 04.02.2024