PathoPic – image database / PathoPic ID 5263 - Oligodendrogliom (WHO Grad II)

de
Diagnose
Oligodendrogliom (WHO Grad II)
Diagnose Gruppe
maligner Tumor
Topographie
Hirn frontal
Topographie Gruppe
Nervensystem
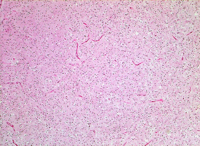
Beschreibung
Die von einem Halo umgebenen Tumorzellen erinnern bei schwacher Vergrösserung an Oligodendrozyten der weissen Substanz. Zahlreiche verzweigte Kapillaren.
Klinik
Kopfschmerzen und epileptische Anfälle seit zwei Jahren.
Bilder Typ
Histologie
Vergrösserung
50
Alter
59
Geschlecht
männlich
Datum
Ersteintrag: 05.08.2002
Update: 04.02.2024