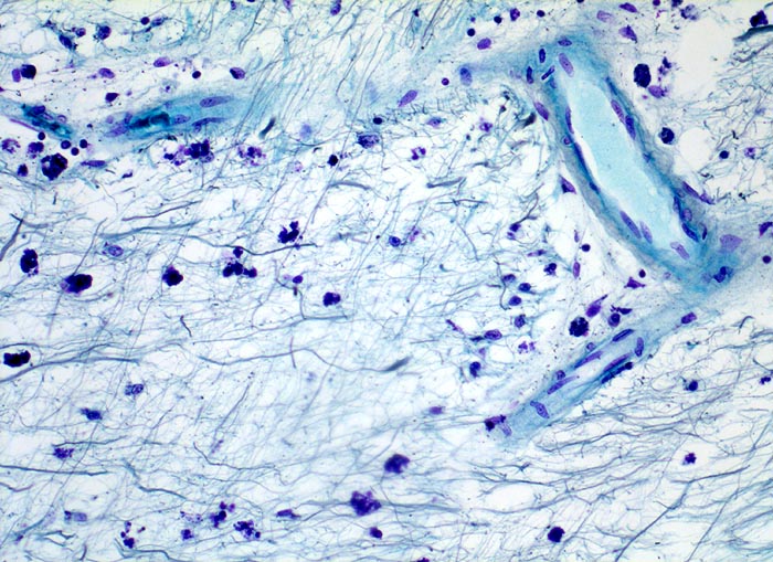
Ausschnitt aus einem älteren Entmarkungsherd. Zwischen den übgriggebliebenen Axonen lassen sich mit Myelinbruchstücken beladene Makrophagen nachweisen. Vereinzelte mononukleäre Entzündungszellen sind vorwiegend perivaskulär lokalisiert. Oligodendrogliazellen sind nicht sicher erkennbar.
Klinik
Multiple periventrikulär gelagerte Entmarkungsherde im MRI