PathoPic – image database / PathoPic ID 5273 - Ganglion

de
Diagnose
Ganglion
Diagnose Gruppe
Normalbefund
Topographie
Nerv peripher
Topographie Gruppe
Nervensystem
Beschreibung
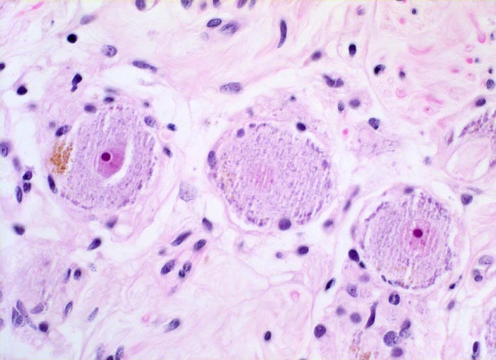
Die Perikaryen der Neurone werden von dunkel gefärbten Satellitenzellen umgeben. Axone, die ins Ganglion hineinziehen und es wieder verlassen, werden von Schwann-Zellen und einem lockeren kollagenfaserigen Stroma gestützt. Das Zytoplasma enthält basophile Nissl Schollen (reichlich rauhes endoplasmatisches Reticulum).
Bilder Typ
Histologie
Vergrösserung
400
Alter
54
Geschlecht
männlich
Datum
Ersteintrag: 03.08.2002
Update: 04.02.2024