PathoPic – image database / PathoPic ID 5275 - peripherer Nerv (Intercostalnerv)

de
Diagnose
peripherer Nerv (Intercostalnerv)
Diagnose Gruppe
Normalbefund
Topographie
Nerv peripher
Topographie Gruppe
Nervensystem
Beschreibung
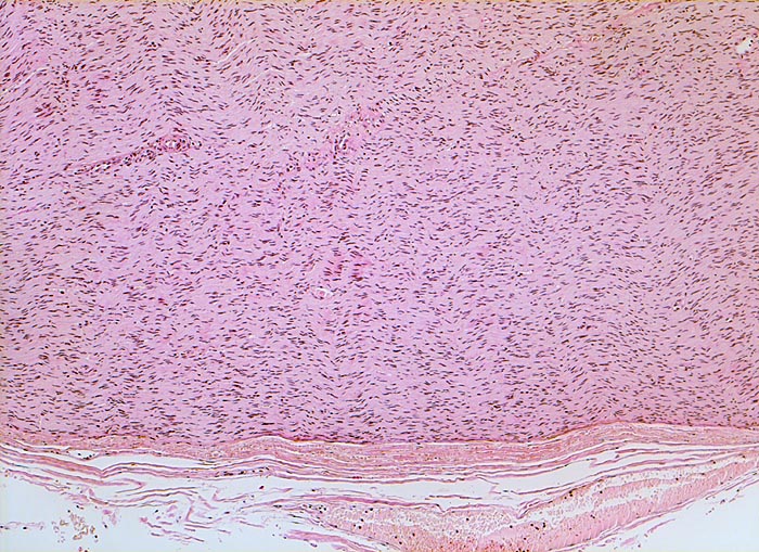
Schwannzellen mit langgezogenen Kernen in welliger Anordnung kennzeichnen den peripheren Nerven. Der Nerv ist umgeben vom Perineurium aus Bindegewebe und Gefässen.
Klinik
Intercostalnerv
Bilder Typ
Histologie
Vergrösserung
50
Alter
54
Geschlecht
männlich
Datum
Ersteintrag: 03.08.2002
Update: 04.02.2024